
Welcome to the TrAFFiC Study website.
The TrAFFiC Study is investigating risk factors and identifying causes of atypical femoral fractures to find ways to prevent it.
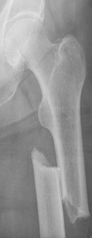
Atypical femoral fractures are rare and atypical thigh-bone fractures that have been associated with anti-osteoporosis medications that inhibit bone breakdown. The causes of these fractures are not yet known. If we can understand what factors lead to the development of these fractures, we can try to prevent them. Nevertheless, the benefits of anti-osteoporosis medications to reduce broken bones due to osteoporosis far outweigh the small risk of an atypical femur fracture.
The TrAFFiC study is a multi-center international study that has been approved by Human Research Ethics Committees at each study site. We are investigating clinical and genetic factors that may be involved in the development of these atypical femoral fractures.
If you are a patient who has had an atypical femoral fracture or a clinician who would like to participate in the TrAFFiC Study, please contact us for more information.
You can read more about the TrAFFiC Study here, about the information governance and security here, or contact the researchers: med-traffic.study@monash.edu
Lead Researcher: Professor Peter R Ebeling
Researcher: Dr Hanh H Nguyen
Researcher: Dr Roger Zebaze
Researcher: Dr Cherie Chiang
Researcher: Professor Ego Seeman
Researcher: Dr Shoshana Sztal-Mazer
Researcher: Dr Vivian Grill
Researcher: Dr Christopher Yates
Researcher: A/Prof Rory Clifton-Bligh
Researcher: Dr Christian Girgis
Researcher: A/Prof Angela Cheung
Researcher: A/Prof Carola Zillikens
Researcher: Dr Alvin Ng
Researcher: Dr Tet Sen Howe
Researcher: Prof Raj Thakker
Researcher: A/Prof Kassim Javaid